矯小歯(異常に小さい歯)をセラミック治療で改善した症例
矯小歯(異常に小さい歯)をセラミック治療で改善した症例
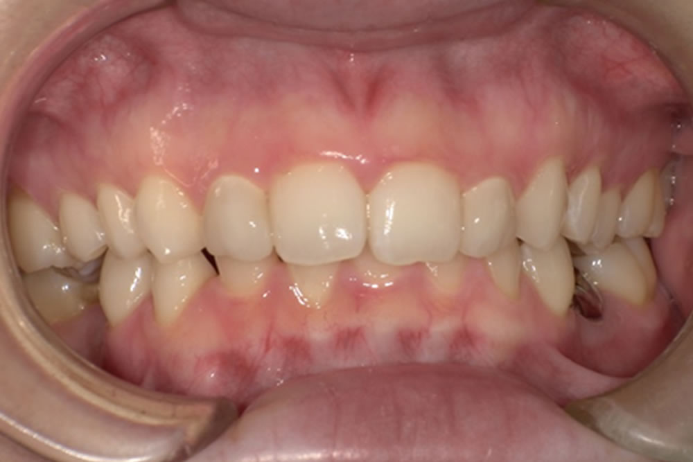
こちらの患者さまは、左右上2番目の矯小歯が気になるとのことでご来院されました。
【矯小歯(矮小歯)とは】
矯小歯とは、ヒトの歯の平均的な解剖学的大きさを基準とした際に、それよりも異常に小さい歯のことを指します。一般的な歯より小さいのが特徴です。
こちらが治療前の口腔内写真です。左右2番目の歯が少し小さいことが確認できます。
仮歯の作成
まず麻酔を行い、歯を削ったうえで仮歯へ置き換える処置を行います。
(※仮歯は自費診療となるため、別途費用がかかります。)
その後、一定期間経過をみて痛みなどの症状が出ないことを確認できたら、型取りへ進みます。型取りの際は一度仮歯を外し、最終的な形に整えたうえで、精密な型取りを行います。
なお、セラミック治療費のお支払いは、型取り時または装着時のいずれかでお願いしております。
(※型取り費用として別途1,100円~3,300円がかかります。)
セラミッククラウンの装着・治療完了
完成したセラミッククラウンを実際に試着し、見た目や違和感がないかなどを最終確認します。
患者さまとの確認が取れた後、セラミックを接着し、噛み合わせを調整して治療完了となりました。装着後は、見た目の自然さや舌触りの良さにご満足いただけました。
現在は、周囲の歯との色味の差が気になるとのことでホワイトニングを行いながら、メインテナンスにて経過を確認しています。
| 年齢・性別 | 20代 女性 |
|---|---|
| 治療期間 | 4ヵ月 |
| 治療回数 | 4回 |
| 治療費(税込) | セラミッククラウン 264,000円 |
| リスク・注意点 | ・部分的に強い力がかかると、欠けたり、外れたりすることがあります。 |


