矯正歯科
このページの目次
患者様の理想に添った矯正治療を心がけています

当院では、患者様の理想やご要望に可能な限り添って治療を進めています。矯正治療のおいても、患者様のライフスタイルや現段階の歯並びなどを含め、望むゴールに対して適切な治療法のご提案に努めております。以下では、当院が取り組む矯正治療をご紹介いたします。
矯正治療に精通した医師が治療を担当いたします

当院の矯正治療は、これまで多数の治療を実施してきた矯正歯科医(日本矯正歯科学会認定医を含む)と、歯列矯正や咬み合わせ治療に精通した歯科医師が実施いたします。患者様一人ひとりの細部にこだわって診断を行い、適切な治療法や装置のご提案をさせていただきます。
日本矯正歯科学会認定医とは?
日本矯正歯科学会が認めた施設(大学病院・矯正歯科医療機関)において臨床経験を5年以上・学会での論文発表や、学会が定める試験に合格するなど、条件を満たした矯正専門の歯科医師です。
一般歯科医でも矯正治療は実施できますが、より質の高い治療をお望みでしたら、「日本矯正歯科学会認定医」が在籍する歯科医院での治療をおすすめします。
当院が実施する目立たない装置での歯列矯正
一般的な矯正装置は、歯の表面に目立つ金属製のブラケットやワイヤーなどを使用するため、歯並びを改善したいと思っていても、「かっこわるい」「矯正しているのを知られたくない」などの理由から、踏み出せない方も多数いらっしゃると思います。当院では、そういった見た目の悩みに配慮し、どなたにも始めやすい審美性にこだわった装置での歯列矯正をおすすめしています。
審美性に配慮した素材での矯正(白いワイヤー・透明ブラケット)
当院がご用意する目立たない矯正装置は一般的な矯正装置に、金属ではなく歯の色味に近いワイヤーや、透明な色のブラケット(留め具)を使用した目立ちにくい素材を採用しています。
審美性に配慮しながらも高い矯正力は維持できるため、幅広い歯列に対応が可能です。
マウスピース型の矯正装置「インビザライン」
自身の歯型に合わせた専用のマウスピースを装着して、歯列矯正を行う新しい矯正方法です。矯正大国アメリカで開発され、全世界で支持されている信頼の高い矯正装置です。自身で脱着が可能なため、食事をする時や歯磨きをする際も煩わしさを感じる事はありません。改善が可能な歯並びは限定されますが審美性も高く、どなたにも始めていただきやすい歯列矯正です。
透明で審美性も高い

矯正に使用するマウスピースは、透明な素材ですので、近くで見てもほとんど気付かれる事がありません。周りの目を気にせずに矯正治療が実施できます。
痛みや違和感の緩和

3Dシミュレーションを基に、無理のない方法で少しずつ歯を移動させて行くため、痛みや違和感を緩和した矯正が可能です。素材も柔らかいポリウレタン製を採用してるので負担が少なく快適です。
自身で装置の着脱が可能です

マウスピース型の装置ですので、歯磨きやお食事の時には、簡単に取り外せ「磨きにくい」や「食べづらい」など、ストレスを感じる事もありません。フロスや歯間ブラシなども普段通りご使用になれます。
歯列矯正のシミュレーション
歯列の矯正がどのように進んで行くのかを3次元動画で確認が可能です。最終的な歯列を事前に確認出来る事で、治療意欲も保つ事ができます。
アレルギーの人も安心

使用するマウスピースは、ポリウレタン製ですので金属アレルギーの方にも、安心して矯正に集中していただけます。また、装置でケガをするような事もありません。
通院回数を軽減する事が可能

通常の矯正装置は、およそ1ヶ月に1度微調整のために通院が必要ですが、インビザラインは装置の取替えも自身で行うため、1.5~3ヶ月に1度の通院で大丈夫です。頻繁に通院が出来ない方などにおすすめです。
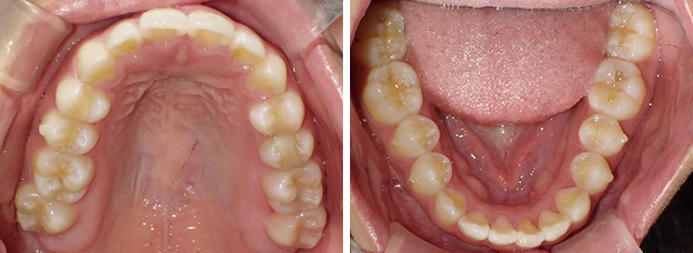
マウスピース型矯正装置(インビザライン)による歯列を矯正した症例
こちらの患者さまは定期的な健診で通院されていましたが、前歯のガタつきを気にされていました。ご相談のうえ検査を行い、治療方法についてご説明した結果、マウスピース型矯正装置(インビザライン)による歯列矯正を希望されました。
初めに費用や治療方法の相談の時間を設けます。費用やおおよその期間にご納得いただきましたら精密検査に進みます。口腔内検査のほかにレントゲン撮影、顔や口の中の写真撮影を行ないます。また、矯正装置を作るために歯の型どりをします。
最初のマウスピースをお渡しする際には、着脱方法やお手入れ方法、使用時の注意事項について丁寧にご説明します。
マウスピースの装着時間は症例によって異なりますが、今回は1日22時間以上の装着をお願いしています。
1週間ごとに新しいマウスピースへ交換し、段階的に歯を動かしていきます。
今回のケースでは実施しませんでしたが、スペースの確保や抜歯を避けるために、歯と歯の間をわずかに削って、歯を並べるための処置(ディスキング)を行なうこともあります。
1ヵ月に1回、通院していただき進行状況の確認をします。その際に新しいマウスピースをお渡しします。歯並びが整ったら、一定期間は保定装置を装着して元の歯並びに後戻りするのを防ぎます。
矯正治療終了
今回は5ヵ月間のマウスピース着用で終了することができました。マウスピース型矯正装置は目立ちにくく、着脱が可能です。マウスピースを取り外して、いつも通りに食事や歯磨きをすることができ、期間も短かったためとてもご満足いただけました。
| 年齢・性別 | 20代 女性 |
|---|---|
| 治療期間 | 5ヵ月 |
| 治療回数 | 5回 |
| 治療費(税込) | マウスピース型矯正装置(インビザライン) 440,000円 相談料 3,300円 検査費用 44,000円 月一チェック料 5,500円/回 |
| リスク・注意点 | ・歯を動かす際に鈍痛を感じることがあります。 ・マウスピースの装着時間を守らなければ、計画どおりに歯が移動しない可能性があります。 ・矯正後は保定装置(リテーナー)を使用しないと、歯並びが後戻りしてしまう可能性が高くなります。 |
マウスピースによる部分矯正「インビザラインGo」にも対応
前歯部分(真ん中から左右4番目まで)の歯並びについてお悩みの方には、部分矯正用のマウスピース型矯正装置「インビザラインGo」をおすすめいたします。
部分矯正に特化したインビザラインGoは、通常のインビザラインとマウスピースの設計は変わりませんが、全顎矯正に比べて、移動する歯の数が少ないため、短期間・低費用で歯並びを改善することができます。
インビザラインGoで前歯の隙間を改善した症例
相談・口腔内写真
お口の中の写真を撮影しインビザラインGOに適応するかを検査していきます。その日に結果がわかり、適応範囲のためすすめることになりました。
ただ下の歯並びはディスキングと呼ばれる、スペースを確保するために歯を少し削る処置が必要になることをお伝えしたところ、お母様から歯を削ることに抵抗があるため、今回は上の歯並びのみすすめることになりました。
検査(型取り)
上下の型取りと噛み合わせの記録をとります。
治療計画の説明
インビザラインGOから送られてきた計画書を本人とお母様に確認していただき、ご納得の上で契約書にサインしていただきました。
アタッチメント装着・アライナーお渡し
今回は歯を削らないため、アタッチメントのみ装着していきます。アタッチメントとは歯を動かすためのマウスピース(アライナーと呼びます)がしっかりと固定するための突起物のことです。アタッチメントは白のレジンのものなのでほとんど目立ちません。
アライナー1~4までお渡ししました。アライナーの着脱も練習していきます。
メンテナンス・DRチェック
メンテナンスを1ヵ月に1回来ていただいていた方でしたので、メンテナンスの時にアライナーのお渡しとDRチェックを行ないました。
アタッチメントの除去・リテーナーの型取り
すべてのアライナーが終わり、ご本人と確認し満足していただけたので、アタッチメントを外しました。その後、リテーナー(後戻りしないようにする保定装置)の型取りをしていきます。
リテーナー装着
すリテーナーをつけるまでは最後のアライナーをつけていただいて、リテーナーが出来上がり次第、変更します。リテーナーは基本的に就寝時につけていただきます。
| 年齢・性別 | 10代 女性 |
|---|---|
| 治療期間 | 6ヵ月 |
| 治療回数 | 7回 |
| 治療費(税込) | インビザラインGo 440,000円 |
| リスク・注意点 | ・歯の移動に伴う鈍痛、違和感を感じることがあります。 ・リテーナーによる保定処置を行わなければ、歯並びが後戻りする可能性があります。 |
治療期間の短縮や痛みの軽減が可能な「デーモンシステム」

全顎矯正でも出来るだけ治療期間を短縮させたいと言う方のために「デーモンシステム」と言う矯正装置をご用意しています。デーモンシステムは、一般的な装置のように、一つひとつの歯に装着するブラケット(留め具)とワイヤーを固定せず、摩擦を抑える事で痛みの緩和や治療期間の短縮化を実現します。調整などもスムーズに行えるため、一回の治療時間も比較的短い時間で済みます。さらに、歯を抜かずに矯正を実施できる可能性が高いのも特徴です。
矯正治療に伴うリスク・注意点について
- 矯正治療で歯の移動を行う際、歯根の吸収が起こる場合があります。
- 取り外しが可能な装置は装着時間を守っていただかないと、治療計画どおりに歯が移動しないことがございます。
- 治療の進行具合によっては、治療期間が延長する場合がございます。
咬み合わせ改善や顎関節症治療も行っています
当院では、咬み合わせ不良や顎関節症などの治療も実施しています。咬み合わせに問題があった場合には、お口だけでなく、顎周辺の組織や全身にも悪影響があると言われています。
特に顎関節症は、生涯を通して50%の人が患うと言われるほど発症しやすく、また重症化しやすいのも特徴です。顎骨や、お口の開閉時に少しでも違和感を感じたら、出来るだけ早く検査をすることをおすすめします。
以下が顎関節症や咬み合わせ不良の症状となります。
- 口を開閉する際にこめかみの辺りがカクンと鳴り、痛みを伴う時がある
- あくびや食事中など口を大きく開ける事が困難
- つめ物や被せ物が頻繁に欠けたり・割れたりする
- どちらか一方だけの歯が擦り減っている
一つでも心当たりがある方は、早めの診断・検査を行い、症状改善に向けた治療を受診しましょう。
矯正治療の費用
※下記金額は全て税込です。
| 名称 | イメージ | 特性 | 料金(税込) |
|---|---|---|---|
| 矯正相談料 | ![]() |
矯正治療をご検討中の方とカウンセリングを行います。 | 1,100~ 3,300円 |
| 精密検査/診断費 | ![]() |
レントゲンや模型などの資料を取り、診断をして、診断結果を患者さまにお話しするまでにかかる費用です。 | 55,000円 |
| 小児矯正 (混合歯列期:第1期) |
![]() |
乳歯と永久歯が混在している時期に行う治療です。かみ合わせやあごの形、大きさを整え、永久歯がきちんと生えそろうように誘導する治療です。 | 275,000~ 330,000円 |
| 小児矯正 (混合歯列期の治療を受けた場合:第2期) |
![]() |
混合歯列期の第1期矯正を受けた後の、歯列矯正です。咬み合わせを調整しながら、適切な位置には歯を動かします。 | 385,000~ 440,000円 |
| 永久歯列期・本格矯正 | ![]() |
歯にブラケットを貼り付けて歯を動かす方法です。一般的な大人の成人の矯正治療です。 | 660,000~ 715,000円 |
| 部分的矯正 (永久歯列期) |
![]() |
補綴(被せ物)を入れる前に1歯から数歯の部分的な矯正を行います。 | 110,000~ 275,000円 (検査料込み) |
| 審美ブラケット(強化ブラケット) | ![]() |
金属ではなく、透明の装置ですので目立ちません。 | 上記料金にプラス 上顎のみ…16,500円 下顎のみ…16,500円 上下とも…33,000円 (検査料込み) |
| 矯正期間中の調整費 | ![]() |
矯正装置の調整に毎月ご来院いただきます。必要な場合には、スケーリング(歯のクリーニング)も行います。 | 調整費 3,300~5,500円/毎 スケーリング 2,750円前後 |
| 抜歯 | ![]() |
矯正治療の際に必要があれば抜歯を行います。 | 5,500円前後/1本 |
| エクストルージョン | ![]() |
歯の欠損部分が大きく、歯肉より上に歯質がない場合は、歯肉下に残存する歯質を矯正によって引っ張り上げ、被せ物の安定性を高めます。 | 110,000円 (※補綴は別途自費で必要となります。) |
※矯正治療は、保険診療で行えません。料金は自費扱いとなります。
さいたま市与野で歯列矯正・咬合治療を行う歯科医院をお探しの方へ

当院では、日本矯正歯科学会認定医による歯列矯正や咬み合わせ治療を通して、患者様に快適な生活を送っていただけるよう、理想の歯列、咬み合わせの実現に努めています。さいたま市与野で歯並びや咬み合わせの治療を行う歯科医院をお探しの方は、ぜひ当院までお気軽にご相談下さい。
















