歯茎の腫れたブリッジの土台の歯を根管治療で改善した症例
歯茎の腫れたブリッジの土台の歯を根管治療で改善した症例
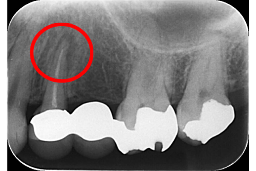
こちらの患者さまは他院で入れたブリッジの土台の歯(4番目の歯)の歯茎が腫れてきてしまったため、治療を行うことになりました。
経過観察・ブリッジの型どり
根の治療を終え、最終的なお薬を詰めました。その後、痛みなど症状がないことを確認し、4番目の歯に土台を立て、再度4.5.6番目をかけるブリッジの型どりを進めていきます。
ブリッジの材質については特徴や費用、見栄えを相談し、セラミックのブリッジに決定しました。
セラミックブリッジの装着・治療完了
完成したセラミックブリッジを装着して治療完了です。ご自身の歯に近い色味で作製したため、境目がほとんど分からないほど自然で綺麗に仕上がりました。患者さまにも仕上がりにご満足いただけました。
その後、別のつめ物でもセラミックを選択され、現在も治療を進めながら口腔内のメンテナンスを行っています。
| 年齢・性別 | 40代 女性 |
|---|---|
| 治療期間 | 4ヵ月 |
| 治療回数 | 5回 |
| 治療費(税込) | 396,000円 |
| リスク・注意点 | ・再発する可能性があります。 ・セラミックの被せ物は部分的に強い力がかかると、欠けたり、外れたりすることがあります。 |




