審美治療(つめ物・被せ物)の症例一覧
歯茎の腫れたブリッジの土台の歯を根管治療で改善した症例

歯茎の腫れたブリッジの土台の歯を根管治療で改善した症例 こちらの患者さまは他院で入れたブリッジの土台の歯(4番目の歯)の歯茎が腫れてきてしまったため、治療を行うことになりました。 右上4.5.6にかかるブリッジの歯茎にニ […]
虫歯治療後にセラミックインレーで修復した症例

虫歯治療後にセラミックインレーで修復した症例 こちらの患者さまは、定期健診ご希望でご来院されました。 定期健診で撮影したレントゲン写真より、つめ物の不適合とむし歯の疑いを確認しました。 右上6番奥側のつめ物の下でむし歯が […]
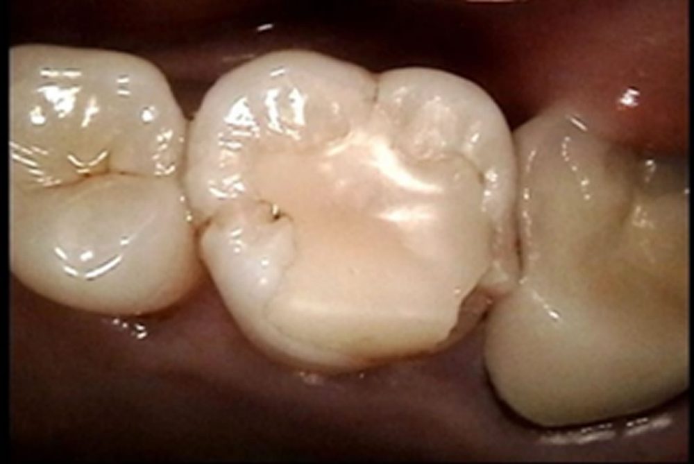
虫歯治療後にセラミックのつめ物で修復した症例

虫歯治療後にセラミックのつめ物で修復した症例 こちらの患者さまは、つめ物が取れたことを主訴で来院されました。 全体のむし歯のチェックも希望されたため、レントゲン撮影を行ったところ、むし歯が発見されたため、治療を行なうこと […]
取れた銀歯部分をセラミックインレーで修復した症例

取れた銀歯部分をセラミックインレーで修復した症例 こちらの患者さまは、以前に装着したつめ物が取れてしまい来院されました。カウンセリングを行い、患者さまはむし歯の再発を防ぎ、見た目を白く長持ちさせるためにセラミックを希望さ […]
銀歯部分の根管治療後にセラミッククラウンで修復した症例

銀歯部分の根管治療後にセラミッククラウンで修復した症例 こちらの患者さまは、左下6番目の歯が以前からしみる症状があり、経過を観察していたところ、突然しみる症状が無くなり、歯ぐきから膿のようなものが出てきたため、急患にて来 […]
歯間部の虫歯治療後にセラミックインレーで治療した症例

歯間部の虫歯治療後にセラミックインレーで治療した症例 こちらの患者さまは、定期健診で来院されました。コンタクト(歯と歯の間)部分に虫歯が無いかを確認するためのレントゲン撮影を行うと、左上5、6番にむし歯を確認しました。 […]
割れた歯をセラミックのつめ物で修復した症例

割れた歯をセラミックのつめ物で修復した症例 左上6番目の歯が割れてしまっています。 長持ちさせるために型採りしたつめ物で治療することになりました。 こちらの患者さまは、前回の治療でもセラミックを選んでいただき、満足してい […]
不適合な金属のつめ物をセラミックに変更した症例

不適合な金属のつめ物をセラミックに変更した症例 こちらの患者様はメインテナンスに通院中の方でレントゲン撮影をしたところ、金属のつめ物が不適であったため治療を行うことになりました。 カウンセリングを聞いていただきむし歯の再 […]
セラミック治療で前歯の見た目を改善した症例

セラミック治療で前歯の見た目を改善した症例 こちらの患者さまは前歯をきれいにしたいとの主訴で来院されました。 元々右上2番はメタルボンド(被せ物)、右上1番、左上1番はCR(歯科治療用プラスチック)での治療形跡があり、む […]
気になる前歯の見た目をセラミッククラウンで治療した症例

気になる前歯の見た目をセラミッククラウンで治療した症例 こちらの患者さまは、上の前歯(右上2番~左上2番)をきれいにしたいというご希望があり、ご相談しオールセラミッククラウンを選択されました。 型取りをしてから被せ物が入 […]


