不適合なブリッジをインプラント治療で改善した症例
不適合なブリッジをインプラント治療で改善した症例
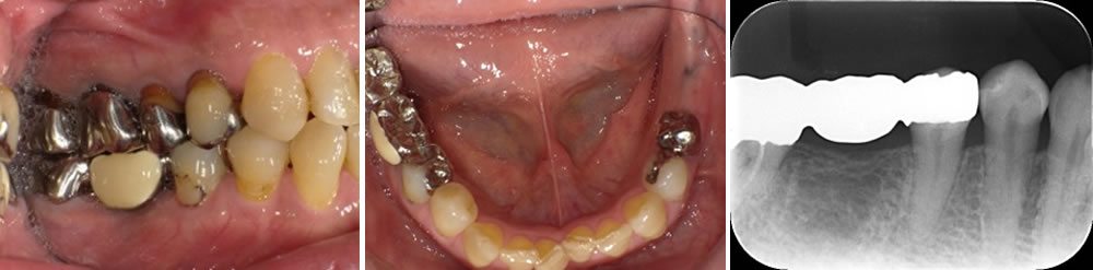
こちらの患者さまは、右下567部位(右下6欠損)にブリッジが装着されていましたが、経年によって適合が悪くなってきたため、再治療を行うこととなりました。
右下6の欠損部を補う治療法について、カウンセラーより各選択肢の説明を受けていただき、インプラント治療を選択されました。
インプラント治療の実施
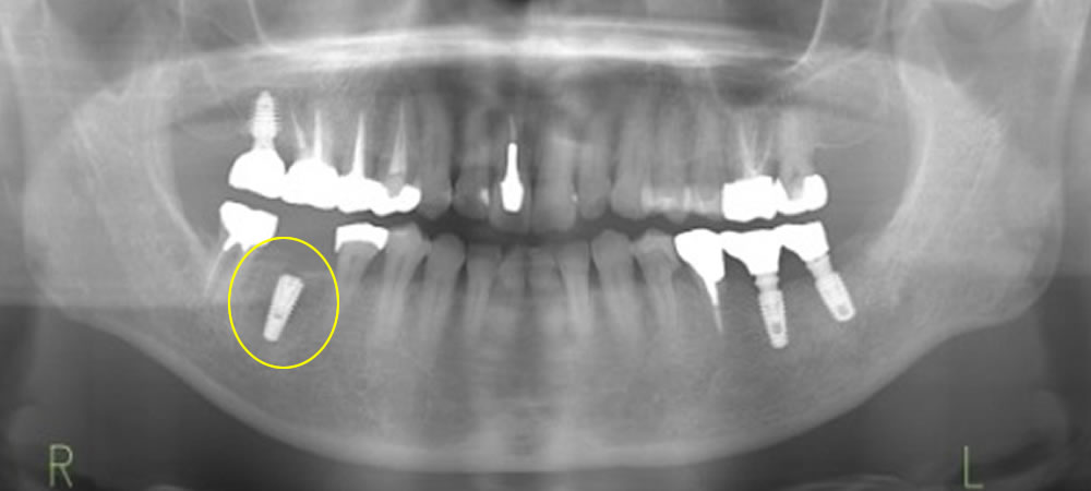
事前にブリッジを除去し、支台歯となっていた右下5・7の虫歯治療を行いました。その後、CT撮影で骨の状態を確認し、服薬内容や手術の流れをご説明したうえで、手術日を決定しました。
手術当日は、麻酔下にてインプラント埋入手術を行いました。術後1週間後に消毒・抜糸を行い、メインテナンスを行いながらインプラントと骨の結合を待ちます。
歯茎の形成・型取り
その後、歯茎の形を整えるため、麻酔下でインプラントの頭を出す処置を行いました。
歯茎の形成から3週間後、インプラントの被せ物の型採りを行い、歯型を技工所に送りました。
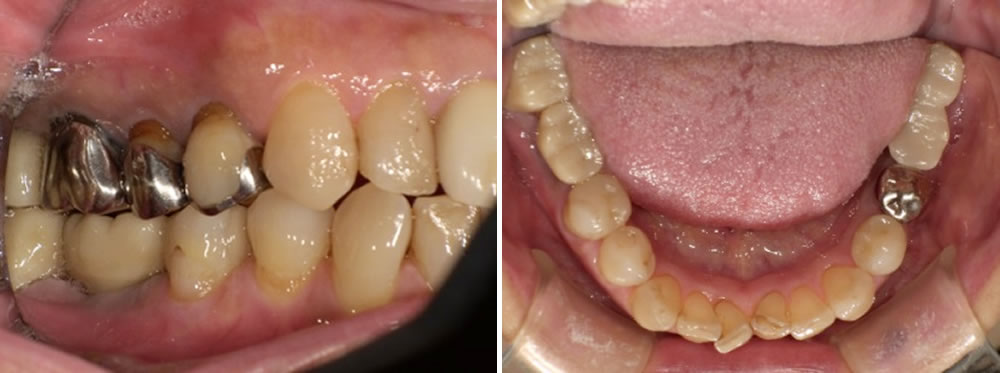
被せ物の装着・治療完了
3週間後、被せ物が出来上がり、適合と見た目を確認した後に装着しました。装着後に咬み合わせの確認・調整を行って治療完了となりました。ブリッジよりも清掃性が良くなり見た目も良くなりました。
| 年齢・性別 | 60代 女性 |
|---|---|
| 治療期間 | 6ヵ月 |
| 治療回数 | 6~8回 |
| 治療費(税込) | 480,000円 |
| リスク・注意点 | ・インプラントは定期的にメンテナンスが必要となります。 ・口腔内が不衛生になると、インプラント周囲炎を引き起こす可能性があります。 ・セラミックの被せ物は部分的に強い力がかかると、欠けたり、外れたりすることがあります。 |






